Book Appointment
+91 77740 40002
HOME
ABOUT
Pune Spine Institute
Dr Mayur Kardile
EXPERTISE
Spine Conditions
Spine Procedures
FACILITIES
Consultation with Spine Surgeon
Physiotherapy
Pharmacy
Lab
X-Ray
CASES
PATIENT STORIES
BLOG
NEWS & EVENT
CONTACT
×
HOME
ABOUT
Pune Spine Institute
Dr Mayur Kardile
EXPERTISE
Spine Conditions
Spine Procedures
FACILITIES
Consultation with Spine Surgeon
Physiotherapy
Dietician
Pharmacy
Lab
X-Ray
CASES
PATIENT STORIES
BLOG
NEWS & EVENT
CONTACT
×
Book Appointment
Name
Email
Mobile
Message
Incorrect code entered
CALL NOW
BOOK NOW
CHAT
Spine Deformity
Degnerative conditions
Infections
Spine Tumors
SI joint Fusion
Home
Cases
Published By DR. MAYUR KARDILE
Cases
Spine Deformity
Adolescent Idiopathic Scoliosis (Type 2)
14 yr girl
Adolescent Idiopathic Scoliosis (Type 3)
20 yr Gymnast
Congenital Kyphosis with Hemivertebra
21 yr girl
Adult Degenerative Scoliosis with Flat Back Syndrome
63 yr gentleman
Degenerative conditions
Prolapse Intervertebral Disc (Slip Disc)
32 yr lady
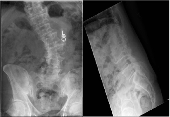
Degenerative Listhesis
65 yr gentleman
Recurrent disc hernaition with Formainal stenosis
67 yr lady
Cervical Myelopathy
65 yr gentleman
Atlanto Axial Instability
61 yr gentleman
ACDF for Cervical Radiculopathy
61 yr gentleman
Infections
Tuberculosis of Thoracic Spine
51 yr gentleman
Cervical Spine Infection
65 yr lady
Thoracic Spine Pyogenic Infection
69 yr lady
Spine Tumors
L3 Metastatic Tumor Reconstruction
65 yr old gentleman
L3 Metastatic Tumor Vertebroplasty
64 yr old gentleman
Sacroiliac Joint Fusion
Sacroiliac joint Fusion
55 yr lady